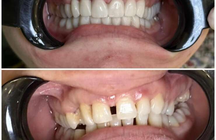
Protección de cavidades
Mantener tus dientes saludables comienza con una adecuada protección contra las caries. La caries dental es uno de los problemas más comunes, pero con el cuidado adecuado y revisiones periódicas, se puede prevenir eficazmente. Nuestra clínica se enfoca en la detección temprana, la limpieza profesional y planes de tratamiento personalizados para garantizar una salud bucal duradera.
Utilizamos técnicas modernas y materiales de alta calidad para proteger tus dientes de la caries y fortalecer el esmalte. Tratamientos como aplicaciones de flúor, selladores dentales y revisiones rutinarias ayudan a mantener los dientes fuertes y sanos.
Mantener una buena higiene bucal en casa es fundamental. Cepillarse dos veces al día, usar hilo dental regularmente y reducir el consumo de azúcar puede disminuir significativamente el riesgo de caries.
Para más información, envíanos un mensaje o llama al +34603631498.
Horario de atención
- Lunes:09:00 – 18:00
- Martes:09:00 – 18:00
- Miércoles:09:00 – 18:00
- Jueves:09:00 – 18:00
- Viernes:09:00 – 18:00
- Sábado:09:00 – 14:00
- Domingo:Cerrado
They Say
Testimonials
Lorem ipsum dolor sit amet, consecng elit. Praesent vestibulum molestie lacus. Aenean nonu hen aurisllus porta. Fusce suscipit varius mi.
The friendly atmosphere and state of the art interior makes you relax. I have had a dental phobia most of my life, but it’s gone after just one visit here!
After visiting a number of dentists over the years, I have finally found one who I trust, without a doubt the most caring and professional staff.
Nuestra Tienda
Nuestro Blog
Do you feel uncomfortable in dentist’s chair or you just don’t have enough time to visit clinic? We give you a great opportunity to get healthy, natural and beautiful teeth with just one procedure! Lorem ipsum dolor sit amet, sit quis vestibulum mauris est nibh pede, vel vitae imperdiet felis dolor, purus dictum pellentesque integer aliqua tincidunt,…
Our wisdom teeth are the third and final set of molars, located at the upper and lower back of our mouth. If you are experiencing pain from wisdom teeth, then you might need a minor surgery to remove your wisdom teeth. Lorem ipsum dolor sit amet, sit quis vestibulum mauris est nibh pede, vel vitae imperdiet felis…
There are many reasons why you might lose a tooth: from poor dental care, to illness, lifestyle choices, or injury to your teeth. The best way to prevent tooth loss is to practice good dental health habits, which include brushing and flossing regularly. Lorem ipsum dolor sit amet, sit quis vestibulum mauris est nibh pede, vel vitae…